小児矯正(予防矯正)
【当院の小児矯正メニュー】スケルトン矯正
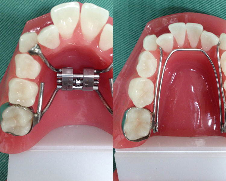
スケルトン矯正とは
スケルトン矯正は、上顎急速側方拡大装置とも呼ばれ上顎を左右に拡大する為に使われる装置です。
成長期のお子様を対象に顎が狭く、永久歯が生えるためのスペースが足りない症例に適用されます。
成長期の骨は柔らかいので、比較的短期間で上顎の拡大が可能です。
顎が狭いことによる問題
顎が狭いと、永久歯が生える場所が不足し、斜めに生えてしまったり重なりあって生えてしまう場合があります。
顎が狭いことで、鼻孔への気道も狭くなります。そのため、顎が小さいお子様は口呼吸や鼻づまりをしがちになります。口呼吸のお子様は、雑菌・ウイルスが直接喉に接触するため感染症やアレルギー・喘息になりやすい、いびきが出たり、睡眠時無呼吸症候群になりやすい、といった問題が指摘されています。
スケルトン矯正の利点

スケルトン矯正を用いることで、症例によっては歯を抜かず、短期間で歯並びの改善が可能です。
上顎に空間ができ、いびきや睡眠時無呼吸症候群の改善が期待できます。
お子様の歯並びや、いびき・口呼吸などで気掛かりなことがありましたら、一度お近くの歯科医院にご相談ください。
【当院の小児矯正メニュー】歯を抜かない、痛くないビムラー矯正

従来の矯正では、永久歯が生えそろってから、歯を抜いて治療をするものが主流でした。一方、抜歯はしたくないというお子様の場合には、6~8歳の乳歯から永久歯に生え変わる時期に行うビムラ―矯正をおすすめしております。

ビムラ―矯正では、50年以上前にドイツのビムラー医師によって考案された矯正装置を使用します。ビムラ―矯正の場合、成長期にあるお子様の顎の発育を促すだけでなく、舌や唇や頬の力のバランスまで整えてくれる点が特徴です。
上下一体型の装置で取り外しができるため、夜にはめていただき、学校などに行く時には外すことができます。
- メリット
-
- 日中、学校に言っている間はしなくても良い
- 痛みが少ない
- 成長発育を利用するので、顎のバランスも良くなるので見た目も良く顎関節症にも良い影響がある
- 永久歯になって抜歯をする確率がかなり低くなる
- デメリット
-
- 取り外しが可能なので、外してしまうことができる
(使っていただかないと治らない)
- 取り外しが可能なので、外してしまうことができる
【当院の小児矯正メニュー】床矯正
床矯正とは
床矯正(しょうきょうせい)とは、顎を広げることで歯並びの矯正を行う治療法です。
適切なタイミングで床矯正を行うことで、ブラケット矯正や抜歯を伴う矯正を行わずに済む可能性が高くなります。
一般的な矯正装置は取り外しができないため、常に口の中に違和感があったり、食事の際に邪魔だと感じたり、歯が磨きにくく虫歯のリスクが高まるといったデメリットがあります。床矯正であれば必要なときは装置を取り外すことが出来ますので、小さなお子様にとってもストレスの少ない治療法と言えます。
床矯正の効果
歯並びが悪い場合、顎の広さの問題がある場合、歯の生え方の問題がある場合、その双方に問題がある場合があります。
床矯正は、顎を広げることを目的とした治療方法です。過度な不正咬合の場合や床矯正を行う時期が遅かった場合、永久歯が一部デコボコしてしまったり、一部の歯の方向がズレてしまう場合もあります。
そのような時は、床矯正を行って顎の広さを確保した後にワイヤーを使用して歯並びを矯正する必要があります。
床矯正装置の使い方
矯正装置の装着は、1日14時間が目安となります。
装着時間が長いほど治療に要する期間は短くなりますが、長い装着はお子様のストレスになることがあります。取り外しができますので、1日トータルの中で装着時間が確保できるならば、食事や歯磨き・外出の際には装置を外しても問題ありません。
上述した、スケルトン矯正との使い分けとしては、上顎を大きく拡大する必要がある場合はスケルトン矯正を、そうでない場合は清掃しやすく痛みやストレスの少ない床矯正装置を用いるというのが一例になります。
矯正治療に用いる装置は、お子様一人ひとりの症状によってお勧めできるものが異なります。詳しくは当院までご相談ください。
【当院の小児矯正メニュー】マルチブラケット装置

一般的な矯正治療法です。1本1本の歯に金具(ブラケット)を接着し、細い針金(アーチワイヤー)を通して歯を移動させます。
取り外しができない治療法ですので、それほど見た目が気にならないと言う方におすすめしたい矯正装置です。
お子様の矯正歯科治療
近頃のお子様には、凸凹の歯並びや、噛み合わせの悪さが目立つようです。
そういった症状を総称して「不正咬合」といいますが、咀嚼器官の健全な発育を妨げるばかりでなく、全身の健康にも悪影響を及ぼしてしまうリスクがあります。また、時には、心理的なコンプレックスにもつながる症状です。
矯正歯科治療は、不正咬合をきれいな歯並びに、よい噛み合わせにすることで、健康な体と心をつくるための歯科治療です。
このページでは当院の矯正歯科治療についてご紹介させていただきます。

下顎前突(かがくぜんとつ)・反対咬合(はんたいこうごう)
下の前歯が上の前歯より前にでています。

叢生(そうせい)・八重歯(やえば)
あごの大きさと歯の大きさが調和せず、凹凸にはえたりかさなりあったりします。

上顎前突(じょうがくぜんとつ)
上の前歯や歯列全体が前に突き出ています。

開咬(かいこう)
噛み合わせても上下の歯にすき間ができて噛み合いません。

交叉咬合(こうさこうごう)
噛み合わせが反対になっています。

過蓋咬合(かがいこうごう)
下の前歯が上の前歯に深く覆われています。

空隙歯列(くうげきしれつ)・正中離開(せいちゅうりかい)
歯と歯の間にすき間ができています。
【小児矯正の時期について】目安としては、3歳くらいの頃に1度ご来院ください

小児矯正では、顎の骨が成長している子どもの時期に行う治療で、顎の成長をある程度コントロールすることにより、より理想的な治療ができる矯正法と言えます。目安としては、3歳くらいの頃に1度ご来院ください。
矯正治療の流れ
まずお子様の顎の成長状態を把握し、矯正治療を行うことができるかどうかの判断をしてから治療に入ります。
-
1
初期相談
治療についての説明をします。疑問に思うこと、ご希望などをお聞きし不安な部分を何でもお聞きください。
-
2
精密検査
レントゲンによる顎の状態のチェック、噛み合わせの確認、歯型の採取、口腔内写真と顔写真の撮影を行います。
-
3
診断結果
検査の結果をもとに具体的な治療方針、治療期間、料金のご説明をしていきます。十分なご理解をいただいた上で治療に移ります。
-
4
矯正装置の装着
お子様のお口の中に合わせて矯正器具を装着します。その後、数ヶ月に一度定期的に来院していただき、お口の状態のチェック、歯の磨き方を指導します。
-
5
保定処置
歯の移動が終了し矯正装置を外すことになっても、移動したての歯はまだ不安定なため、放っておくとまた元の位置に戻ろうとします。それを防ぎ、歯を支える骨がしっかりと安定した状態になるまで、リテーナーという保定装置を装着します。保定期間は約2年です。
-
6
メインテナンス
歯の矯正が終了し、器具も取れた後はきれいな歯を維持していくために定期的に検診を受けていただくことが大切です。歯のクリーニング、ブラッシング指導を行って歯の衛生管理をします。

不正咬合(歯並びが悪い状態)による心身へ影響とは?
- 食べ物が歯の間にはさまり、虫歯や歯周病になりやすい。
- 食べ物をよく噛み砕けず、胃腸などの消化器に負担がかかります。
- 上下の顎の発育や、顔の成長に影響を与えて不調和をもたらします。
- 上あごと下あごをつなぐ顎関節に負担がかかるため、顎関節症になりやすくなります。
- そしゃく筋の発達に影響を与え、筋力のバランスが崩れて姿勢も悪くなります。また、正しい発音がしにくくなります。
- 視力低下の原因となるといわれ、学力や運動能力の低下をまねきやすくなります。
不正咬合の主な原因
1.遺伝

あごや歯は遺伝しやすいので、不正咬合の症状も似てきます。例えば、親が受け口の場合、子も同じく受け口になる可能性が高いのです。お子様の歯並びが気になる方は、早めにご相談ください。
2.病気
「鼻づまり」「扁桃腺肥大」は口で呼吸するため、歯列の横幅が狭くなり、出っ歯になりやすくなります。
3.癖
乳歯が生えそろってから、永久歯が生え変わるまで長期にわたって指しゃぶりが続きますと、開口という不正咬合になったり、出っ歯になったりします。その他、いつも唇をかんでいたり、タオルをかむなどの口にまつわる癖も不正咬合の原因となります。
4.乳歯の虫歯
虫歯を放置すると痛むばかりでなく、噛み合わせもずれる原因にもなります。ときには、後から生えてくる永久歯の形成不全や位置異常を招くこともあります。
5.乳歯の早期喪失と歯の交代トラブル
乳歯が早く抜けてしまうと、抜けた部分に生える永久歯のスペースがなくなります。乳歯から永久歯に交代する6歳から12歳まで、永久歯の生える順番が乱れると歯列や噛み合わせの形成が妨げられ、不正咬合になってしまいます。
小児矯正Q&A
- 子どもの歯の矯正をしたいのですが、いつから始めれば良いですか?
- 通常は永久歯が生えてきてからで、良いかと思われますが、乳歯の早期喪失は不正咬合を引き起こす恐れがあります。早めの咬合誘導が必要になりますので、一度歯科医院で見てもらいましょう。
- 子どもの前歯が斜めに生えてきました。どうすれば治りますか?
- 小児の前歯が、最初からまっすぐ生えることは珍しく、たいていは斜めに生えてきたり、隙間があいていたります。上顎の前歯の交換期に、扇状に開いて生えることを「みにくいアヒルの子の時代」と呼びます。7歳に始まり、14歳の犬歯が生える頃には改善されます。生え進んでいく過程で歯の向きやねじれは治っていきます。まずは様子をみましょう。生えきった後も顎の成長や隣の歯が生えるにつれて、永久歯の位置や向きは変化していきます。特に問題がなければ前歯が生え揃うまで様子を見ますが、生え揃ってからも治らなければ、かかりつけの歯科医にご相談ください。
- 子どもの口がいつも開いています。何か原因はありますか?体に悪影響はありませんか?
- 鼻で呼吸ができず、口で呼吸をしなくてはならないことが考えられます。アレルギー性鼻炎、鼻中隔彎曲(びちゅうかくわんきょく=左右の鼻の間の壁が曲がる)などの鼻の障害があることが多いので、耳鼻咽喉科に見てもらいましょう。口が開いている状態が続くと・・・歯ぐきが乾燥して炎症を起こします。話すこと、ものを噛むこと、飲み込むことなどの口の機能に問題が出てきます。上顎前突などにより、噛み合わせが悪くなります。一度歯科医院で見てもらいましょう。
- 乳歯は抜け落ちるので、虫歯の治療や、歯の矯正はしなくても良いですか?
- 虫歯を放置すると、栄養障害などが起こり、歯並びの悪い場合は大人の歯にも影響が出ることが危惧されます。歯並びが悪いと、食物の消化を悪くしたり、好き嫌いができることもありますので、一度歯科医院で見てもらいましょう。
- よく歯ぎしりをします。歯並びが悪くならないか心配です。
- 子どもの歯ぎしりは、ほとんどが一時的なものです。生え変わりで、複雑に変化する口の中の状態に、筋肉がまだ順応せず、ストレスとして起きていることが多いようです。ただ、あまりひどい歯ぎしりは、血液の循環を悪化させ、歯周疾患の原因になったり、顎の関節へ負担をかけたりすることがあります。気になるようでしたら、歯科医院にて見てもらいましょう。
- 3歳ですが指しゃぶりが止められません。
- 3歳以降、指しゃぶりを続けていると前の歯が噛み合わなくなり、出っ歯のような顔貌になってしまいます。3歳までに完全に止めることができれば、成長と共に自然と治りますが、それ以降続けていると矯正治療の対象になります。
- 検診で噛み合わせが反対だと言われました。
- 乳歯列の反対咬合は、そのままにしておくと顎の成長を抑制してしまうことがあり早期の改善をおすすめします。習慣性や遺伝などの原因で上下の顎の大きさのバランスの差が生じて反対になっている場合があり、治療方法は両者で異なります。検査だけでもした方がいいと思います。
- 歯の一部が黒く見えますが虫歯ですか?
- 可能性はあります。お子様が痛み(しみる、イタイなど)を訴えていなくても神経に伝わっていないだけで、実際は進行していることがあります。ぜひ、早めの受診をおすすめします。虫歯は風邪と違い、放っておいても治りません。
- 歯ぐきに水泡のようなものがありますが・・・
- 歯の神経が膿んでいる可能性があり、痛みを伴わないこともよくあります。放っておくと膿が広がって、治りにくくなり、歯を抜かなくてはならないこともありますので、早めに受診しましょう。
- 子どもが転んで歯ぐきから血が出ています。
- 外傷を受けた歯は、1分でも早い処置によって予後が変わってきます。転んで歯をぶつけたら、即受診してください。
- 1歳6ヶ月の検診で虫歯があると言われて・・・
- 1歳6ヶ月という年齢は、ただ診療室に入ることや見知らぬ人と会うということだけで、恐怖心を抱いてしまうため治療をするとなると大変困難です。方法は、進行を止めるか保護者の方に動きを抑制してもらいながらの治療になります。どちらかの選択は、話し合いの上決定していきましょう。
- 虫歯菌はうつるの?
- 生まれたばかりの赤ちゃんは、ほとんど無菌の状態です。2~3歳頃までにミュータンス菌などの虫歯原因菌に感染してしまうと、生涯そのコントロールは大変難しいものになります。そして、残念なことにそれらは主に母親の口腔から伝播すると言われています。お母さんが一度口に入れたスプーンや箸などを赤ちゃんの口に入れるだけでも感染してしまうのです。